ADMIN

ȨÆäÀÌÁö¸ÞÀÎ




Ȩ > °üÀýŬ¸®´Ð > ¼Õ¡¤¹ß¸ñ



¿îµ¿, ¾÷¹«°£ ¹ß»ý ÇÒ ¼ö ÀÖ´Â »ç¼ÒÇÑ ¼Õ?¹ß¸ñ ÅëÁõºÎÅÍ

¼ö °³¿ù ÀÌ»ó Áö¼ÓµÇ¾î °íÁúº´ÀÌ µÈ Áõ»ó±îÁö ÇѹæÄ¡·á°¡ È¿°úÀûÀÔ´Ï´Ù.

Ä¡·á Ư·ÀåÁ¡

01. ºÎÀÛ¿ë ¾ø´Â ħ°ú ¾àħ, ÇѾà, ÇѹæÄ¡·á 02. ħ±¸°ú Àü¹®Àǰ¡ Àü¹®ÀûÀΠħ, ¾àħ ½Ã¼ú
03. ´Ü±â°£ÀÇ ÅëÁõÁ¦¾î°¡ ¾Æ´Ñ °üÀý ÁÖº¯ ±ÙÀ° ¹× ÀδëÀÇ ÀÚ»ý·Â °­È­
04. NO ½ºÅ×·ÎÀ̵å, NO Ç×»ýÁ¦, NO ÁøÅëÁ¦ Åõ¿©
05. Á¤È®ÇÑ Áø´ÜÀ» ÅëÇÑ Áúº´ÀÇ ±Ùº» ¹× ±¸Á¶ÀûÀÎ ¹®Á¦¸¦ ÇØ°á


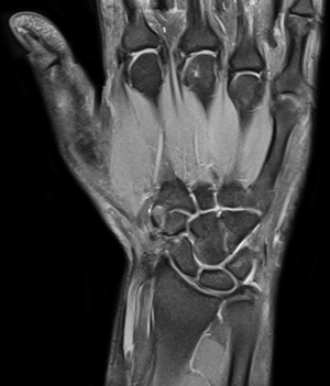
<¼Õ, ¹ß¸ñ MRI>



¼Õ, ¹ß¸ñ ÁúȯÀ̶õ?

¼Õ, ¹ß¸ñÀ» ÁöÅÊÇÏ´Â ÀÎ´ë ¹× ±ÙÀ°µéÀÌ ¿ÜºÎÀÇ Èû ¶Ç´Â Æò¼Ò »ýȰ½À°üÀ¸·Î ÀÎÇÏ¿© ¼Õ»óµÈ °æ¿ì¸¦ À̾߱â ÇÕ´Ï´Ù.
¼Õ¸ñ¿°Á´ ¼ø°£ÀûÀÎ °úµµÇÑ Ãæ°ÝÀÌ ÁÖ¿ä ¿øÀÎÀ¸·Î ÀÛ¿ëÇÏ¸ç °üÀýÀ» ÁöÁöÇØ ÁÖ´Â ÀÎ´ë ¶Ç´Â ±ÙÀ°ÀÌ Âõ¾îÁö°Å³ª ´Ã¾î³ª¸é¼­¹ß»ýÇÕ´Ï´Ù.
¹ß¸ñ¿°ÁÂÀÇ ¾à 90%´Â ¹ß¹Ù´ÚÀÌ ¾ÈÂÊÀ¸·Î µÚƲ¸®°Ô µÇ´Â ¹ß¸ñÀÇ ¹Ù±ùÂÊ ºÎºÐ¿¡ ÀϾ´Ï´Ù. ƯÈ÷ ¹ß¸ñ ¾ÈÂÊÀ¸·Î ±ÕÇüÀ» ÀÒÀ¸¸é¼­ ³Ñ¾îÁö¸é, ¸ö¹«°Ô°¡ ÀüÇØÁ® ºÎ»óÀÇ Á¤µµ°¡ ½ÉÇØÁö°Ô µË´Ï´Ù. ÈçÇÏ°Ô ¹ß»ýÇÏÁö¸¸ ´ëºÎºÐ Ãʱ⿡ Ä¡·á¸¦ ÀûÀýÈ÷ ¹ÞÁö ¸øÇØ Àç¹ßÇÏ´Â °æ¿ì°¡ ¸¹½À´Ï´Ù.
¸¸¾à ¸¸¼ºÈ­ÇÏ¸é °üÀý¿° µî ¹ß°ú °ü·ÃÇÑ ¿©·¯ Áúº´À» À¯¹ßÇÏ°Ô µÇ¹Ç·Î Ãʱâ Ä¡·á°¡ ¹«¾ùº¸´Ù Áß¿äÇÕ´Ï´Ù.

 

¼Õ, ¹ß¸ñÁúȯ Áõ»ó ¹× ÀÚ°¡Áø´Ü

1. ¼Õ, ¹ß¸ñ ºÎÀ§°¡ ºÎ¾îÀÖ´Â °æ¿ì
2. ¸ÛÀÌ µé¾î ÀÖ´Â °æ¿ì
3. °È°Å³ª ¿òÁ÷À϶§¿¡ ÅëÁõÀÌ ÀÖ´Â °æ¿ì
4. ÀÏ»óÀûÀÎ ¿òÁ÷ÀÓÀº ±¦ÂúÁö¸¸ ¿îµ¿À̳ª Ư¼öÇÑ µ¿ÀÛÀ» ÇÒ¶§¿¡ ÅëÁõÀÌ ÀÖ´Â °æ¿ì
5. ÅëÁõÀÌ ¹ß»ýÇϰí 1ÁÖÀÏ À̳»¿¡ È£ÀüµÇÁö ¾Ê´Â °æ¿ì
* »ó±â»çÇ× Áß¿¡ ¸î °¡Áö¸¸ ÇØ´ç ÇØ´õ¶óµµ ¼Õ,¹ß¸ñÁúȯÀ» ÀǽÉÇØº¸°í ÀÇ·á±â°üÀÇ µµ¿òÀ» ¹Þ¾Æº¸´Â °ÍÀÌ ÁÁ½À´Ï´Ù.

 

 

           
º´¿ø¼Ò°³ ôÃßŬ¸®´Ð °üÀýŬ¸®´Ð ±³Åë»ç°í/±³Á¤ Ä¡·á¹æ¹ý Ä¿¹Â´ÏƼ
           

Àλ縻
µÑ·¯º¸±â
¿À½Ã´Â±æ

Ç㸮µð½ºÅ©
ôÃß°üÇùÂøÁõ
¸ñµð½ºÅ©
ÀÏÀÚ¸ñ
ôÃßÃø¸¸Áõ
¼ö¼úÈÄÀ¯Áõ

¹«¸­
¾î±ú
¼Õ·¹ß¸ñ
ÆÈ²ÞÄ¡(¿¤º¸¿ì)
ÅΰüÀý
±¸¾È¿Í»ç(¾È¸é¸¶ºñ)
³úÇ÷°üÁúȯÈÄÀ¯Áõ(Áßdz)

±³Åë»ç°íÈÄÀ¯Áõ
Á¢¼ö¹æ¹ý
¾î±úƲ¾îÁü
°ñ¹ÝƲ¾îÁü
ÈØ´Ù¸®

Áø´Ü
ÇѹæÄ¡·á
°ý»çÄ¡·á
¾àħġ·á
ÇѾàÄ¡·á

ÀÇ·á»ó´ã
°Ç°­Á¤º¸
Áø·á¿¹¾à
°øÁö»çÇ×

           


º¸¼ÕÇÑÀÇ¿ø / ÃæÃ»ºÏµµ ûÁֽà ¼­¿ø±¸ »ê³²µ¿ 657 ¾ØÁ©ºôµù 2Ãþ Tel 043)273-1075 (1076)
»ç¾÷ÀÚµî·Ï¹øÈ£ : 301-91-89449 / ´ëÇ¥ÀÚ : ÀÌÀ翵/
Copylight 2017 All right reserved.                                                                                                                                                                                 [ȯÀÚÀDZǸ®¿ÍÀǹ«]