ADMIN

ȨÆäÀÌÁö¸ÞÀÎ




Ȩ > °üÀýŬ¸®´Ð > ¹«¸­



55¼¼ ÀÌ»óÀÎ °æ¿ì¿¡´Â ¾à 80£¥, 75¼¼ÀÎ °æ¿ì¿¡´Â °ÅÀÇ Àü Àα¸¿¡ ¹ßº´

±ÙÀ°°ú Àδ븦 °­È­ ¹× ȸº¹½ÃÄÑ ÅðÇàÀ» ´ÊÃß°Ô µË´Ï´Ù.

Ä¡·á Ư·ÀåÁ¡

01. ºÎÀÛ¿ë ¾ø´Â ħ°ú ¾àħ, ÇѾà, ÇѹæÄ¡·á
02. ħ±¸°ú Àü¹®Àǰ¡ Àü¹®ÀûÀΠħ, ¾àħ ½Ã¼ú
03. ´Ü±â°£ÀÇ ÅëÁõÁ¦¾î°¡ ¾Æ´Ñ °üÀý ÁÖº¯ ±ÙÀ° ¹× ÀδëÀÇ ÀÚ»ý·Â °­È­
04. 100% ºñ¼ö¼ú Áø·á
05. Á¤È®ÇÑ Áø´ÜÀ» ÅëÇÑ Áúº´ÀÇ ±Ùº» ¹× ±¸Á¶ÀûÀÎ ¹®Á¦¸¦ ÇØ°á


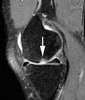
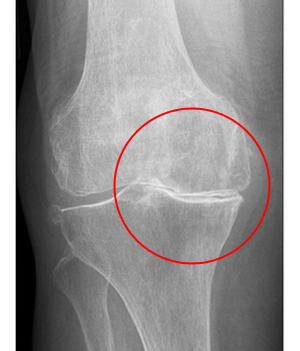
<¹«¸­°üÀý¿° X-RAY / MRI>



¹«¸­°üÀý¿° À̶õ?

¹«¸­¿¬°ñÀÇ ¼Õ»ó ¶Ç´Â ÅðÇ༺ º¯È­·Î ÀÎÇØ °üÀýÀ» ÀÌ·ç´Â »À¿Í ÀÎ´ë µî¿¡ ¼Õ»óµîÀ¸·Î ÀÎÇÏ¿© ¿°Áõ°ú ÅëÁõÀÌ »ý±â´Â °æ¿ì¸¦ ¹«¸­ °üÀý¿°À̶ó°í ÇÕ´Ï´Ù. ¹«¸­°üÀý¿°Àº 55¼¼ ÀÌ»óÀÎ °æ¿ì¿¡´Â ¾à 80£¥, 75¼¼ÀÎ °æ¿ì¿¡´Â °ÅÀÇ Àü Àα¸¿¡ ¹ßº´Çϰí ÀÖ°í ³²¼ºº¸´Ù´Â ¿©¼º¿¡°Ô ´õ ¸¹ÀÌ ³ªÅ¸³ª¸ç ±× Á¤µµµµ ½ÉÇÕ´Ï´Ù. ¶ÇÇÑ ºñ¸¸ÁõÀÌ ÀÖ´Â °æ¿ì³ª °ú°Å¿¡ ±³Åë»ç°íŬ¸®´ÐÀ̳ª ¿Ü»óÀ¸·Î ÀÎÇÏ¿© »À³ª °üÀýÀÌ ´ÙÃÆ´ø °æ¿ì, ¼±Ãµ¼º ±âÇüÀÌ ÀÖ´Â °æ¿ì, »À ´ë»ç¿¡ ÀÌ»óÀÌ ÀÖ´Â °æ¿ì, Á÷¾÷ ¶Ç´Â Ãë¹Ì·Î ÇÑ °üÀýÀ» °è¼ÓÇØ¼­ ¹«¸®ÇÏ°Ô »ç¿ëÇÏ´Â °æ¿ì¿¡µµ Àß ¹ß»ýÇÏ°Ô µË´Ï´Ù.

 

¹«¸­°üÀý¿° Áõ»ó ¹× ÀÚ°¡Áø´Ü

1. °è´ÜÀ» ÀÌ¿ëÇÒ¶§¿¡ ÅëÁõÀÌ ÀÖ´Ù. ƯÈ÷ ³»·Á°¥ ¶§¿¡ ´õ ½ÉÇÏ´Ù.
2. ÅëÁõ¶§¹®¿¡ ¹«¸­À» Âß Æì±â ¾î·Æ´Ù.
3. ¹«¸­ÀÌ Àß ±¸ºÎ·¯ÁöÁö ¾Ê´Â´Ù.
4. ¾ß°£¿¡ ¹«¸­¿¡ ¾¥½Ã´Â ÅëÁõÀÌ ÀÖ´Ù.
5. ¾É¾Ò´Ù ÀϾ ¶§ ÅëÁõÀÌ ÀÖ´Ù.
6. O´Ù¸® À̰ųª XÀÚ ´Ù¸®ÀÌ´Ù.
7. ÅëÁõ ¶§¹®¿¡ Âɱ׷Á ¾ÉÀ» ¼ö°¡ ¾ø´Ù ¹ß»ýÇÑ´Ù.

* »ó±â»çÇ× Áß¿¡ ¸î °¡Áö¸¸ ÇØ´ç ÇØ´õ¶óµµ ¹«¸­°üÀý¿°¸¦ ÀǽÉÇØº¸°í ÀÇ·á±â°üÀÇ µµ¿òÀ» ¹Þ¾Æº¸´Â °ÍÀÌ ÁÁ½À´Ï´Ù.

 

 

           
º´¿ø¼Ò°³ ôÃßŬ¸®´Ð °üÀýŬ¸®´Ð ±³Åë»ç°í/±³Á¤ Ä¡·á¹æ¹ý Ä¿¹Â´ÏƼ
           

Àλ縻
µÑ·¯º¸±â
¿À½Ã´Â±æ

Ç㸮µð½ºÅ©
ôÃß°üÇùÂøÁõ
¸ñµð½ºÅ©
ÀÏÀÚ¸ñ
ôÃßÃø¸¸Áõ
¼ö¼úÈÄÀ¯Áõ

¹«¸­
¾î±ú
¼Õ·¹ß¸ñ
ÆÈ²ÞÄ¡(¿¤º¸¿ì)
ÅΰüÀý
±¸¾È¿Í»ç(¾È¸é¸¶ºñ)
³úÇ÷°üÁúȯÈÄÀ¯Áõ(Áßdz)

±³Åë»ç°íÈÄÀ¯Áõ
Á¢¼ö¹æ¹ý
¾î±úƲ¾îÁü
°ñ¹ÝƲ¾îÁü
ÈØ´Ù¸®

Áø´Ü
ÇѹæÄ¡·á
°ý»çÄ¡·á
¾àħġ·á
ÇѾàÄ¡·á

ÀÇ·á»ó´ã
°Ç°­Á¤º¸
Áø·á¿¹¾à
°øÁö»çÇ×

           


º¸¼ÕÇÑÀÇ¿ø / ÃæÃ»ºÏµµ ûÁֽà ¼­¿ø±¸ »ê³²µ¿ 657 ¾ØÁ©ºôµù 2Ãþ Tel 043)273-1075 (1076)
»ç¾÷ÀÚµî·Ï¹øÈ£ : 301-91-89449 / ´ëÇ¥ÀÚ : ÀÌÀ翵/
Copylight 2017 All right reserved.                                                                                                                                                                                 [ȯÀÚÀDZǸ®¿ÍÀǹ«]