ADMIN

ȨÆäÀÌÁö¸ÞÀÎ




Ȩ > ôÃßŬ¸®´Ð > ôÃßÃø¸¸Áõ



Ãø¸¸ÁõÀÇ À¯º´·üÀº 2002³â 1.4%, 2007³â 5%, 2012³â 6.8%·Î °¡ÆÄ¸£°Ô Áõ°¡

40µµ ÀÌ»óÀÇ Ãø¸¸ÀÌ ¾Æ´Ï¸é ¼ö¼ú ¾øÀ̵µ ±³Á¤ÀÌ °¡´ÉÇÕ´Ï´Ù

Ä¡·á Ư·ÀåÁ¡

01. ºÎÀÛ¿ë ¾ø´Â ħ°ú ¾àħ, ÇѾà, ÇѹæÄ¡·á
02. ħ±¸°ú Àü¹®Àǰ¡ Àü¹®ÀûÀΠħ, ¾àħ ½Ã¼ú
03. ´Ü±â°£ÀÇ ÅëÁõÁ¦¾î°¡ ¾Æ´Ñ ôÃß ÁÖº¯ ±ÙÀ° ¹× ÀδëÀÇ ÀÚ»ý·Â °­È­
04. ºñ¼ö¼ú ôÃß °¢µµ ±³Á¤
05. Ãø¸¸ÁõÀ¸·Î À¯¹ßµÈ ÇÕº´Áõ ÇÔ²² ÇØ°á


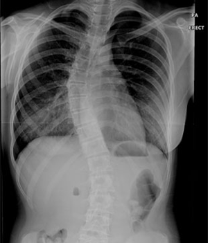
<ôÃßÃø¸¸ÁõȯÀÚ X-RAY>


Ãø¸¸Áõ À̶õ?

Á¤»óÀûÀΠôÃß´Â Á¤¸é¿¡¼­ º¸¾ÒÀ» ¶§ ÀÏÁ÷¼±ÀÌ¸ç ¿·¿¡¼­ º¸¾ÒÀ» ¶§¿¡´Â °æÃß¿Í ¿äÃß´Â ¾ÕÀ¸·Î ÈÖ¾î ÀÖ°í ÈäÃß¿Í ÃµÃߺδ µÚ·Î ÈÖ¾î ÀÖ½À´Ï´Ù.
º¸Åë ôÃß°¡ 10µµÀÌ»ó ÈÖ¾î ÀÖ´Â °æ¿ì¸¦ Ãø¸¸ÁõÀ̶ó°í Çϸç 40µµ ÀÌ»ó ÈÖ¾îÀÖ´Â °æ¿ì¿¡´Â ±³Á¤Ä¡·á¸¸À¸·Î ÇØ°áÀÌ ¾î·Á¿ï ¼ö ÀÖ½À´Ï´Ù.
ôÃßÃø¸¸ÁõÀÇ À¯º´·üÀº 2002³â 1.4%, 2007³â 5%, 2012³â 6.8%·Î °¡ÆÄ¸£°Ô Áõ°¡Çϰí ÀÖ½À´Ï´Ù.

 

Ãø¸¸Áõ Áõ»ó ¹× ÀÚ°¡Áø´Ü

1. ¿ÊÀÌ ÇÑÂÊ ¹æÇâÀ¸·Î Àß µ¹¾Æ°£´Ù.
2. °ñ¹ÝÀÌ ÇÑ ÂÊÀ¸·Î ±â¿ï¾îÁ® Àְųª ¿À¸®¾ûµ¢ÀÌó·³ Æ¢¾î³ª¿Í ÀÖ´Ù.
3. ±ÕÇü°¨°¢ÀÌ ¶³¾îÁ® Àß ³Ñ¾îÁö´Â ÆíÀÌ´Ù.
4. ÆóȰ·® ¹× Æó±â´ÉÀÌ ³·Àº ÆíÀÌ´Ù.
5. 90µµ·Î Ç㸮¸¦ ¼÷¿´À»¶§¿¡ µîÀÌ ÇÑÂÊÀ¸·Î ±â¿ï¾îÁ® ÀÖ´Ù.
6. O´Ù¸® À̰ųª XÀÚ ´Ù¸®ÀÌ´Ù.
7. ¾çÂÊ ¾î±ú ³ôÀ̰¡ ´Ù¸£´Ù.
8. µÚ¿¡¼­ º¼¶§ ÇÑÂÊ µîÀ¸·Î¸¸ Æ¢¾î³ª¿Ô°Å³ª ôÃß°¡ ÇÑÂÊÀ¸·Î ÈÖ¾îÁø °Íó·³ º¸ÀδÙ.

* »ó±â»çÇ× Áß¿¡ ¸î °¡Áö¸¸ ÇØ´ç ÇØ´õ¶óµµ ôÃßÃø¸¸Áõ¸¦ ÀǽÉÇØº¸°í ÀÇ·á±â°üÀÇ µµ¿òÀ» ¹Þ¾Æº¸´Â °ÍÀÌ ÁÁ½À´Ï´Ù.

 

 

           
º´¿ø¼Ò°³ ôÃßŬ¸®´Ð °üÀýŬ¸®´Ð ±³Åë»ç°í/±³Á¤ Ä¡·á¹æ¹ý Ä¿¹Â´ÏƼ
           

Àλ縻
µÑ·¯º¸±â
¿À½Ã´Â±æ

Ç㸮µð½ºÅ©
ôÃß°üÇùÂøÁõ
¸ñµð½ºÅ©
ÀÏÀÚ¸ñ
ôÃßÃø¸¸Áõ
¼ö¼úÈÄÀ¯Áõ

¹«¸­
¾î±ú
¼Õ·¹ß¸ñ
ÆÈ²ÞÄ¡(¿¤º¸¿ì)
ÅΰüÀý
±¸¾È¿Í»ç(¾È¸é¸¶ºñ)
³úÇ÷°üÁúȯÈÄÀ¯Áõ(Áßdz)

±³Åë»ç°íÈÄÀ¯Áõ
Á¢¼ö¹æ¹ý
¾î±úƲ¾îÁü
°ñ¹ÝƲ¾îÁü
ÈØ´Ù¸®

Áø´Ü
ÇѹæÄ¡·á
°ý»çÄ¡·á
¾àħġ·á
ÇѾàÄ¡·á

ÀÇ·á»ó´ã
°Ç°­Á¤º¸
Áø·á¿¹¾à
°øÁö»çÇ×

           


º¸¼ÕÇÑÀÇ¿ø / ÃæÃ»ºÏµµ ûÁֽà ¼­¿ø±¸ »ê³²µ¿ 657 ¾ØÁ©ºôµù 2Ãþ Tel 043)273-1075 (1076)
»ç¾÷ÀÚµî·Ï¹øÈ£ : 301-91-89449 / ´ëÇ¥ÀÚ : ÀÌÀ翵/
Copylight 2017 All right reserved.                                                                                                                                                                                 [ȯÀÚÀDZǸ®¿ÍÀǹ«]