ADMIN

ȨÆäÀÌÁö¸ÞÀÎ




Ȩ > ôÃßŬ¸®´Ð > ÀÏÀÚ¸ñ



Çö´ëÀÎÀÇ Àý¹Ý ÀÌ»óÀº °æ¹ÌÇÏÁö¸¸ ÀÏÀÚ¸ñ Áõ»óÀ» °¡Áö°í ÀÖ½À´Ï´Ù.

ÀÏÀÚ¸ñÀº ¹æÄ¡ÇÏ¸é ¸ñµð½ºÅ©·Î ¹ßÀüÇÏ°Ô µË´Ï´Ù.

Ä¡·á Ư·ÀåÁ¡

01. ºÎÀÛ¿ë ¾ø´Â ħ°ú ¾àħ, ÇѾà, ÇѹæÄ¡·á
02. ħ±¸°ú Àü¹®Àǰ¡ Àü¹®ÀûÀΠħ, ¾àħ ½Ã¼ú
03. ´Ü±â°£ÀÇ ÅëÁõÁ¦¾î°¡ ¾Æ´Ñ ôÃß ÁÖº¯ ±ÙÀ° ¹× ÀδëÀÇ ÀÚ»ý·Â °­È­
04. ¸ñµð½ºÅ©·Î ¹ßÀüÇÏÁö ¾Ê°í ÀÏÀÚ¸ñ ´Ü°è¿¡¼­ ÇØ°á


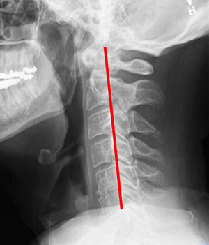
<ÀÏÀÚ¸ñȯÀÚ X-RAY / Á¤»ó ¸ñ X-RAY >


ÀÏÀÚ¸ñ À̶õ?

ÃÑ 33°³ÀÇ Ã´Ãß Áß °¡Àå À§¿¡ À§Ä¡ÇÑ °æÃß(¸ñ»À) 1¹øºÎÅÍ 7¹ø. Á¤»ó °æÃß´Â CÀÚ ÇüÅ·ΠµÇ¾î ÀÖÀ¸³ª ÀÏÀÚ º¯Çü µÇ¾î ÀÖ´Â »óŸ¦ ÀÏÀÚ¸ñ ÁõÈıºÀÌ¶ó ¸»ÇÏ¸ç ¸»¸ç ÈçÈ÷ °ÅºÏ¸ñ ÁõÈıºÀ̶ó°íµµ ÇÕ´Ï´Ù. º¸Åë ¿¬·É´ë°¡ ³ô°í ±ÙÀ°·®ÀÌ ºÎÁ·ÇÒ ¼ö·Ï ½±°Ô ¹ßº´ÇÏÁö¸¸ ÃÖ±Ùµé¾î ÄÄÇ»ÅÍ ¹× ¾É¾Æ¼­ ¾÷¹« ¹× »ýȰÀ» ¸¹ÀÌ Çϸ鼭 ¿¬·É, ¼ºº°¿¡ °ü°è¾øÀÌ ¹ß»ýºóµµ°¡ Áõ°¡Çϰí ÀÖ½À´Ï´Ù.

 

ÀÏÀÚ¸ñ Áõ»ó ¹× ÀÚ°¡Áø´Ü

1. ¸ñ µÚ ºÎºÐÀÌ Ç×»ó »»»»ÇÏ´Ù.
2. ¾î±ú, µîÀÌ ÀÚÁÖ °á¸°´Ù.
3. ¸ñ, ¾î±ú ÅëÁõ°ú ÇÔ²² µÎÅëÀÌ ÀÖÀ» ¼ö ÀÖ´Ù.
4. ¸ñÀÌ µÚ·Î Àß Á¥ÇôÁöÁö ¾Ê´Â´Ù.
5. ÀáÀ» ÀÚ°í ³ª¸é ¸ñ ºÎºÐÀÌ »µ±ÙÇÏ´Ù.
6. ÇÏ·çÀÇ Àý¹Ý ÀÌ»ó PC¸¦ »ç¿ëÇÑ´Ù.
7. ¿·¿¡¼­ º¼ ¶§ ¸ñ »À°¡ ÀÏÀÚ·Î ÆìÁ® ÀÖ´Ù.
8. µîÀÌ ±Á¾ú´Ù.
9. ¾î¶² º£°Ô¸¦ »ç¿ëÇÏ´õ¶óµµ ÀáÀÚ¸®°¡ ºÒÆíÇÏ´Ù.

* »ó±â»çÇ× Áß¿¡ ¸î °¡Áö¸¸ ÇØ´ç ÇØ´õ¶óµµ ÀÏÀÚ¸ñ¸¦ ÀǽÉÇØº¸°í ÀÇ·á±â°üÀÇ µµ¿òÀ» ¹Þ¾Æº¸´Â °ÍÀÌ ÁÁ½À´Ï´Ù.

 

 

           
º´¿ø¼Ò°³ ôÃßŬ¸®´Ð °üÀýŬ¸®´Ð ±³Åë»ç°í/±³Á¤ Ä¡·á¹æ¹ý Ä¿¹Â´ÏƼ
           

Àλ縻
µÑ·¯º¸±â
¿À½Ã´Â±æ

Ç㸮µð½ºÅ©
ôÃß°üÇùÂøÁõ
¸ñµð½ºÅ©
ÀÏÀÚ¸ñ
ôÃßÃø¸¸Áõ
¼ö¼úÈÄÀ¯Áõ

¹«¸­
¾î±ú
¼Õ·¹ß¸ñ
ÆÈ²ÞÄ¡(¿¤º¸¿ì)
ÅΰüÀý
±¸¾È¿Í»ç(¾È¸é¸¶ºñ)
³úÇ÷°üÁúȯÈÄÀ¯Áõ(Áßdz)

±³Åë»ç°íÈÄÀ¯Áõ
Á¢¼ö¹æ¹ý
¾î±úƲ¾îÁü
°ñ¹ÝƲ¾îÁü
ÈØ´Ù¸®

Áø´Ü
ÇѹæÄ¡·á
°ý»çÄ¡·á
¾àħġ·á
ÇѾàÄ¡·á

ÀÇ·á»ó´ã
°Ç°­Á¤º¸
Áø·á¿¹¾à
°øÁö»çÇ×

           


º¸¼ÕÇÑÀÇ¿ø / ÃæÃ»ºÏµµ ûÁֽà ¼­¿ø±¸ »ê³²µ¿ 657 ¾ØÁ©ºôµù 2Ãþ Tel 043)273-1075 (1076)
»ç¾÷ÀÚµî·Ï¹øÈ£ : 301-91-89449 / ´ëÇ¥ÀÚ : ÀÌÀ翵/
Copylight 2017 All right reserved.                                                                                                                                                                                 [ȯÀÚÀDZǸ®¿ÍÀǹ«]